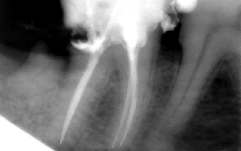
Jep, das war mal ein ungewöhnlicher Schnellauftrag… Für einen Zahnarzt bearbeitete ich eine Handvoll Bilder für ein Buch indem ich vorhandene Röntgen-Aufnahmen im Bereich der Zahnhälse etwas herausgeputzt habe.
Bearbeitung Photoshop mit Kundenunterstützung via Remote Desktop: der Zahnarzt hat so am Telefon genaue Anweisungen gegeben welche Bereiche wie bearbeitete werden sollen.
